Каждая женщина хочет выглядеть красивой и ухоженной.
22.11.2024 в 00:24
Это немалый труд в жизни женщины создавать свой безупречный стиль каждый день. Нанесение макияжа, регулярный маникюр, чистые волосы, прическа, запах духов или туалетной воды, создание гардероба, выбор одежды из этого гардероба в определений день и тд… это регулярные старания, которые занимают много времени. Кто-то этим занимается ежедневно и даже в свой выходной день, кто-то реже.

Но вне зависимости от времени года, дня и ночи, погоды, прически и макияжа неизменными должны оставаться красивые зубы. Зубы не надо каждый день приводить в порядок, достаточно выделить 3-4 минуты для гигиены утром и столько же перед сном. Именно красивые зубы красивую улыбку создают. А такую улыбку может создать врач совместно со своим пациентом.

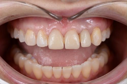
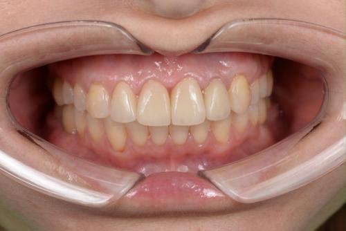
В этом клиническом случае:
- Видео исходного состояния.
- 4 резца с временными коронками для ортодонтического лечения.
- Этап ортодонтического лечения.
- Снятие брекетов и устранение рецессий в области клыков.
- Изготовление 3 коронок и 1 винира на резцы.



